잇몸 피 나오기 시작했을 때 관리했던 나만의 팁
예전에는 아무런 문제를 가지고 있지 않았었는데
이제 나이가 들면서 많은 부분이 달라지는지
구강 관리가 참 어렵게 느껴지기 시작했어요.
특히나 남편은 오돌뼈를 좋아하기도 하고
그만큼 딱딱한 음식을 자주 먹는 편이기도 해서
조금이라도 영향을 크게 받게 되었을 때에는
잇몸 피가 순식간에 나오기 시작하다 보니
이런 점에서 걱정이 이만저만 아니었어요.

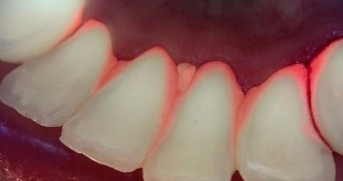
특히나 잇몸에 피가 나기 시작하는 시점에서는
불필요한 과정이 이루어지지 않아야 하는데,
아무래도 이러한 부분들이 잇몸에 자극적으로
다가오는 경향이 있기도 하였거든요.
특히나 잇몸에 피가 나는 이유를 살펴보면
대부분이 구강 내의 존재하는 세균이나
약해진 면역력으로 인해 바이러스가 들어가면서
염증을 유발하기 때문이거든요.
그래서 이번에 제대로 관리해서 원래 컨디션으로
다시 되돌리는 게 중요하다고 보았어요.
그렇기에 하나부터 열까지 꼼꼼하게 알아보고
진행해 보는 게 중요하다고 생각했어요.

그래서 먼저 다른 방법들부터 아아보았는데
기본적으로 관리를 위해서는 치과를 통해
스케일링을 받을 수 있다는 점이 중요했어요.
정기적으로 치석을 제거하는 것만으로도
많은 부분이 달라진다고 하더라고요.
그래서인지 스케일링을 받기 시작하고 나서
많은 점에서 달라지는 것이 있을 텐데요.
하지만 매번 하는 것도 굉장히 번거롭고
그만큼 까먹기도 자주 까먹었어요.

그렇다 보니까 다른 방법들도 고려해야
진행해 볼 수 있을 것 같더라고요.
그중에서도 먹는 음식을 주목했는데,
이렇게 된다면 자극적이지 않은 음식들을
중점으로 먹어야 하는 게 중요하기도 했어요.
그래서 남편 식단을 좀 더 세심하게
알아보고 결정을 내리기도 하였거든요.

하지만 제가 원하는 방향으로 진행하기보다
당장 회식이나 음주 문화를 진행해야 할 때
이런 점에서 굉장히 불편하게 다가왔거든요.
그래서 제대로 케어가 이루어지지 않으니까
남편의 잇몸 문제가 더욱 심해지고 있었는데
마침 괜찮은 방법을 찾아낸 것이
바로 프로폴리스 치약을 사용하는 거였어요.

잇몸 피가 나는 상황에서 유용한 도움을
제공할 수 있다는 점에서 상당한 메리트를
누리실 수가 있었는데요.
아무래도 이런 점에서 자세히 살펴보았을 때
잇몸 관리에 도움을 주는 방향으로 진행하기
용이하니까 더더욱 괜찮게 다가온 것 같아요.
그래서인지 하나부터 열까지 살펴봤을 때
너무 괜찮다는 인상을 받기도 하였고요.

특히나 프로폴리스 제품을 이용하는 것이
중요한 관건이라고 할 수가 있었는데요.
이렇게 된다면 잇몸에 충분한 영양분을
제공할 수 있는 동시에 관리까지 용이하게
이루어질 수 있어 메리트가 상당히 큰 편이었어요.
그래서 하나하나 꼼꼼하게 살펴본 다음에
그에 맞춰 진행해 보기도 하였어요.

일단 여러 가지 제품들을 확인할 수 있었는데,
그중에서도 메이크맨의 팔무치약이
괜찮다는 인상을 받게 되었던 것 같아요.
본래 사람들의 후기를 보고 결정하는 편인데,
이 제품도 마찬가지로 사람들의 평가가
굉장히 좋게 나오는 편이기도 한 데다가
전체적인 퀄리티가 괜찮기도 하였거든요.

무엇보다 해당 제품을 이용하게 된다면
전체적인 구강 관리에 유용한 도움을
받아볼 수 있을 테니까 기대 이상으로
결과를 살펴보기에 적합한 제품이었어요.
그래서인지 남편도 이번에 이용하면서
여러 가지 메리트를 얻을 수 있다는 점에서
상당한 개선이 이루어지기도 하였답니다.

특히나 이번에 고른 제품의 경우에는
만든 사람부터 임플란트와 교정 치료 전문의로
직접 만들어서 제작에 도움을 제공하니까
이런 점에서 더욱 괜찮게 느껴진 것 같아요.
특히나 해당 제품을 이번에 이용하게 된다면
더더욱 만족도 높은 방향으로 케어가 이루어질듯해
기대감을 가지기 충분하다는 인상을 주기도 했어요.

거기다가 잇몸 피가 심하게 나타나는 환자들에게
직접 처방용으로 제공하는 치약이기도 하니까
더욱 특별하게 와닿았던 것 같기도 한데요.
이렇게 된다면 치주 질환으로부터 스케일링을
자주 해야 하는 사람들에게 같이 썼을 때
확실히 개선되는 속도가 남다르게 다가오니까
매력적으로 다가오는 부분이 크기도 했고요.

무엇보다 남편이 이번에 이용하는 동안
많은 도움을 받을 수 있다 보니까
개선이 빠르게 이루어진 것 같기도 해서
매력적으로 다가오던 부분이었거든요.
특히나 잇몸에 좋은 프로폴리스가
들어가 있다는 점이 굉장히 좋게 보여서
너무 좋다는 말만 반복하게 되었답니다.

그래서 하나부터 열까지 꼼꼼하게 체크하고
관리에 좀 더 집중하기 좋은 편이었어요.
거기다가 특허성분인 키토산도 들어갔으니
보다 빠르게 케어가 이루어질 거 같으니까
매력적으로 다가오기도 하였는데요.
이렇게 되면 매일 꾸준히 이용하게 되면서
자연스럽게 케어가 이루어지는 거니까
남편이 번거로워 하지 않는 것 같았어요.

이렇게 하나하나 꼼꼼하게 살펴본 다음에
케어에 집중하니까 결과가 남다르게
나타나고 있는 것 같아서 괜찮았답니다.
덕분에 여러 가지로 메리트를 누리기에도
충분하다는 인상을 정말로 많이 받았어요.

덕분에 잇몸 피를 개선하는 과정에서
많은 도움을 받게 되어서 유용하기도 했고,
그만큼 많은 사람들이 이 제품을 통해서
개선하는 데에 집중하는 이유도 알 수 있어서
메리트가 크게 다가오기도 하였답니다.
덕분에 여러 가지로 괜찮았다고 생각해서
만족도가 아주 높게 나타나는 편이기도 했어요.
그래서 꾸준히 해당 제품을 이용하는 쪽으로
남편 치아 건강 관리에 힘쓰려고 하고 있답니다.