벌써 한 해의 절반이 지나가고 있는데
이럴 때면 제 나이가 나이이다 보니까
조금씩 어딘가 안 좋아지는 게 자연스러웠어요.
그리고 그때마다 해결 방안을 찾아내서
없애보려고 여러 가지로 노력하는데요.
이번에는 남편이 유달리 잇몸이 안 좋아져서
무엇인가 먹는 걸 불편해 하더라고요.
그래서 잇몸내려앉음을 개선해야 겠는데
무슨 방법이 좋을지 고민이 많았었어요.

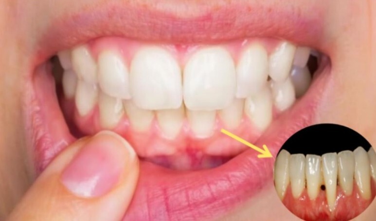
일단 상태를 확인해 보았을 때에
생각했던 것보다 안 좋은 모습을 보여서
걱정이 이만저만 아니었거든요.
무엇보다 전체적으로 치열이 무너지는 등
안 좋은 방향으로 이어지고 있다 보니까
상대적으로 불편함이 크게 나타나기도 했어요.
그래서 괜찮은 방법을 알아보기 위해서
여러 가지 검색을 시도해 보았어요.

일단 정기적으로 치석을 제거하는 것이나
스케일링을 이용하는 게 좋다더라고요.
웬만하면 전체적으로 살펴보기에도
불편함이 없어야 하는데, 이런 점에서 바라보면
깔끔하게 관리하기 용이하다는 점이 있지만
한편으로 계속 스케일링을 받으러 가야 하니
그런 점에서 너무 번거롭게 다가왔었어요.
그리고 주기를 기억하지 못하니까
그대로 놓치는 일이 많기도 하였고요.

그래서 다른 방법으로 영양제를 먹어보면서
꼼꼼하게 챙겨 보기로 결정했거든요.
생각했던 것보다 난이도가 높은 편이라
이런 쪽으로 도움을 받아보는 것이
현명할 거라고 생각했거든요.
하지만 영양제를 섭취한다고 해서
곧바로 변화가 나타나는 것도 아니라
이런 점에서 굉장히 불편하게 다가왔어요.

그렇기에 남편의 잇몸내려앉음을 이겨내고자
양치질을 꼬박꼬박 하는 방향으로도
고려해 보기로 결정을 내렸어요.
애초에 안정적인 방향으로 케어를 하고자 하면
양치 습관이 꼼꼼하게 이루어져야 하더라고요.
그런 점에서 바라보았을 때 여러 가지로 이점이 많아
지속적으로 진행하는 게 좋았어요.
하지만 양치질을 하더라도 잇몸이 내려앉고
시리고 피까지 나니까 고민이 되었는데요.

그래서 최종적으로 결정한 부분이 있다면
바로 잇몸에 도움을 주는 치약을 사용하여
케어하는 것이라고 할 수가 있었어요.
잇몸에 좋은 성분들을 이용한 치약으로
예방하고 관리를 진행하게 되었을 때에
많은 부분에서 도움을 구할 수가 있는데요.
시중에 많은 치약이 있었는데
그중에서도 메이크맨의 팔무치약이
괜찮다는 이야기가 많았어요.

처음에는 이런 쪽으로 관심이 없어서
어떤 게 좋다고 하는지 이해가 안 갔어요.
그래서 아무거나 주문해서 이용해 보려고
하나하나 살펴보지 않고 넘어가려 했는데,
주변에서 오히려 이런 제품을 잘 보고
결정해야 한다고 하더라고요.

그래서 이번에 하나하나 꼼꼼하게 살펴보고
이용해 보기로 결정했었던 것인데요.
아무래도 남편이 당장 시급한 상황이라서
남편 기준으로 괜찮은 제품을 알아봤고,
사람들의 후기 내용도 이것저것 살피면서
결정을 내린 게 바로 이 제품이었네요.

우선 해당 제품의 경우에는 임플란트와
교정 전문 치과 의사가 직접 만든 치약이라서
더욱 특별하게 다가오는 느낌이었어요.
거기다가 만드는 데에만 그치는 것이 아니라
환자들에게도 처방용으로 지급하는 거라고
알려져 있어서 더더욱 괜찮게 보였던 것 같아요.
그래서 이번에 제품을 이용하게 된다면
남편의 문제도 해결될 수 있을듯하니
나쁘지 않다는 인상을 받기도 하였어요.

거기다가 잇몸내려앉음으로 인한 문제를
호소하고 있는 사람들이라면 치주 질환을
의심해 보아야 한다고 하더라고요.
그래서 이런 부분이 나타나고 있는 상황에서는
스케일링을 자주 하는 것이 어느 정도 예방이
가능하면서 건강 관리에도 좋다고 하는데요.
이런 점에서 스케일링을 하면서 같이 쓴다면
잇몸에 더욱 도움이 되는 성분이 포함되어 있어
치주 질환 예방 차원으로도 괜찮은 편이에요.

그래서인지 사람들 후기를 하나하나 살펴보면
치주 질환으로 고생하는 분들이 많은 편이기도 한데,
어떻게 이용하는지 살펴보면 해당 제품을 통해
문제점을 빠르게 잡아보려고 노력하시는 것이
눈에 보이니까 너무 괜찮게 다가왔어요.
저희 남편도 이런 상황에서 아슬아슬할 것이라
보고 있었는데 이러한 상태를 고려한다면
확실히 메리트가 있어 보이기도 했고요.

거기다가 제품 내용물을 상세하세 본다면
특허성분인 키토산이 포함되어 있으니까
잇몸이랑 치아 관리에 톡톡한 효과를
기대하기 좋은 구성품이기도 하였어요.
이런 측면을 살펴보았을 때 충분한 메리트를
얻을 수 있는 구간이라고 생각했답니다.
그렇기 때문에 여러 가지 측면을 보았을 때
하나부터 열까지 관리용으로 딱 좋았어요.

그래서 제품을 사고 온 다음에 남편에게 주고
꾸준히 닦아보라고 살펴보게 되었는데요.
아무래도 이전에 했던 방법들이 있기도 하고,
그만큼 불편하다는 인상을 받기도 하니까
남편의 반응이 솔직히 좋지 않았었어요.
그래도 제가 한 번 이용해 보라고 권유하니
열심히 지키려고 하고 있었는데요.

확실히 사용해 보니까 느낌이 남다르게 다가오는지
조금씩 남편 스스로가 치약을 이용해 보려고
노력하는 모습이 눈에 들어오기 시작했어요.
이러한 부분들을 상세하게 알아본 다음에
해당하는 조건을 다양하게 알아보고자 하니까
확실히 괜찮다는 인상을 받기도 하였고요.
무엇보다 지금 상태에서 많이 개선되어 가는듯해
기대감 이상을 충족하고 있답니다.

이렇게 잇몸내려앉음이 심한 상황에서는
구강 관리를 똑바로 하는 것이 중요한데요.
모든 관리가 양치질에서 시작되는 것을 토대로
앞서 말한 방법들을 꾸준히 진행하는 것으로
많은 도움이 될 수 있을 것 같아요.
그래서 이번에 한 번 치약을 통해 잇몸 관리를
하면서 남편의 문제를 해결해 보려고 한답니다.
잇몸이 내려앉아서 치과갈지 고민하는 분들에게 꼭 필요한 치약보러가기
'건강정보' 카테고리의 다른 글
| 잇몸이 붓고 아플때 잇몸건강에 도움됐던 치약 사용후기 (0) | 2022.07.02 |
|---|---|
| 잇몸 피 나오기 시작했을 때 관리했던 나만의 팁 (0) | 2022.07.01 |
| 종아리 쥐 자다가도 통증생긴다면 확실하게 풀어줘야돼요 (1) | 2022.06.30 |
| 종아리 알배김에 이렇게 해보세요~! (0) | 2022.06.30 |
| 종아리 마사지기 임신때 알았다면 더 좋았겠네요 완전 만족! (0) | 2022.06.29 |