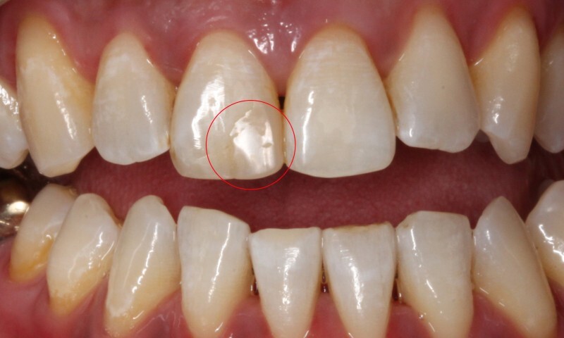
오늘은 치아 실금에 대해서 알려드리는 시간을 갖도록 하겠습니다. 일단 금이 간 치아는 무언가를 씹었을 때 시린 증상이 가장 중요한 판단 요소가 되겠습니다. 얼음이든 단단한 것이든 먹을 때 이가 시리다면, 실금이 있을 가능성이 매우 높습니다. 특히나 앞니 실금 때문에 앞쪽을 시려하는 분들이 많으시죠.
지금 거울 속 자신의 치아는 어떤 상태인가요? 실금이 발견이 됐다면, 오늘 글을 끝까지 보고 가시는 것이 좋습니다. 금이 간 치아는 왜 방치를 하면 안되는지, 어떻게 관리할 수 있는지, 그리고 언제 가장 많이 생기는지 등등 모든 정보를 알려드리겠습니다.
치아 실금 방치하면 나타나는 일
이렇게 실금이 있는 치아를 왜 방치하면 안될까요? 이미 틈이 생긴 치아에 단단한 음식을 씹거나 잠을 자면서 무의식적으로 압력을 가하다 보면 치아가 서서히 벌어지게 되는데요. 우리가 사과 같은 것들을 먹을 때도 살짝만 쪼개져 있으면 살짝만 힘을 줘서 누르면 사과가 쪼개지겠죠. 그거랑 같은 원리라고 생각하시면 됩니다. 치아도 그런 식으로 금이 간 치안에 힘을 주면 살짝 벌어지게 되고 벌어진 틈 사이로 치아 내부를 흐르고 있는 물이나 영양분 같은 것들이 왔다 갔다 하면서 그때 통증을 유발하게 됩니다.

치아 실금 관리하는 방법은 간단하다
그러면 이렇게 치아 실금은 어떻게 관리하는지 말씀드려볼게요. 사실 이미 깨진 실금을 다시 이어 붙일수는 없습니다. 그래서 필요한건 더 악화되지 않게 막아주는 것입니다. 또한 실금은 한 곳에만 나타나고 끝나는게 아니라, 치아 전체적으로 나타날 수 있는 현상입니다. 그렇기에 다른 곳에 더 실금이 생기지 않도록 막는 것이 중요하죠.
실금이 생기는 경우는 두 가지로 구분됩니다.
첫째, 어쩔 수 없는 상황, 사고로 인해 생기는 경우
둘째, 막을 수 있지만 방치해서 생기는 경우
첫 째 경우는 우리가 인위적으로 막을 수 없지만, 두 번째 경우는 미리 예방만 하면 평생 실금 하나 생기지 않게 관리할 수 있습니다. 이런 방법이 있음에도, 대부분은 방치만 하다가 뒤늦게 치과를 가서 치료를 받으시죠.
깨진 실금을 치료하는데만 약 200만원,
만약 깨진 부위에 새로 이식을 하거나, 추가적인 치료가 필요하다면 그 비용은 더 높아지게 되죠.

치아실금은 집에서도 관리할 수 있다
그럼 이렇게 치아 실금이 발견되면 어떻게 해야 될까요?
먼저 실금이 심해서 당장 잠도 못 잘만큼 통증이 심한 경우라면 바로 전문의를 찾아가서 치료를 받아야만 됩니다. 시간이 지나면 낫겠지 하는 마음으로 방치하시면 안됩니다.
이런 경우가 아니라, 실금이 조금씩 보이는데 통증은 덜한 경우 혹은 평소에 이가 조금씩 시리고, 이갈이를 하시는 분들의 경우에는 집에서 간단한 보조장치를 통해 미리 예방을 할 수 있는데요.
실금프로텍터라는 것이 있습니다.
치과에서 평소 무의식적으로 이를 악물거나, 이갈이를 하는 분들에게 착용을 권하는 것인데, 마우스피스 형태로 자는 동안, 혹은 평소 집에 있을 때 착용하시어 이가 맞물리는 것을 방지하는 역할을 합니다.

이렇게 예방을 하는 경우에 뭔가 씹었을 때 벌어지려고 하는 치아를 잡아주기 때문에 통증이 사라질 수가 있겠죠. 또한 이갈이가 심한 분들이라면 자는 동안에 이를 갈게 되면서 치아에 무리를 주게 되는데, 그러면 실금이 서서히 더 깊어지고 깨지게 되거든요. 이런 경우도 예방할 수 있어서 권유드립니다.
치아는 뼈와 비슷한 성분이긴 하지만 사람의 뼈는 붙는 성질이 있죠. 부러졌다가 혹은 금이 갔다가 다시 붙는 성질이 있지만 치아는 아쉽게도 그런 성질이 없어요. 그래서 한 번 금이 간 치아는 절대로 다시 붙지 않고 회복되지 않습니다. 오히려 그 주변으로 세균이 모여들어서 염증을 만들고 치아에 더 안 좋은 영향을 주기 때문에 작은 실금이라도 그냥 지나치지 마시고, 꼭 관리를 지금부터 시작하세요.
제가 사용하는 실금프로텍터에 대한 정보글 남겼습니다. 궁금하신 분들은 잠깐 보시면 도움되실 겁니다.
'건강정보' 카테고리의 다른 글
| 손목터널증후군 원인과 예방법 (0) | 2023.02.28 |
|---|---|
| 손가락 마디 관절 통증 원인부터 해결까지 이 글로 끝내세요 (0) | 2023.01.04 |
| 혈압정상수치 내게 맞는 범위를 아는 것이 중요하다 (0) | 2022.12.26 |
| 알레르기 비염 부작용 없이 관리하는 방법 (0) | 2022.12.21 |
| 손가락 퇴행성 관절염 참고 계신가요 (0) | 2022.12.16 |